Stiri
Adio, DENTIST! Pasta-minune FĂCUTĂ ÎN CASĂ te scapă RAPID de carii
Știri
16.12.2015
07:14
2635
2635
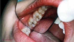
Le aruncăm, fără să ştim cât de utile sunt cojile de ou în gospodărie, dar mai ales în protejarea dinților.
Prepară-ți acasă o pastă de dinți din coji de ou care te ajuta să scapi de carii!
Vei avea nevoie de un sfert de cană de praf de coji de ou, două linguri de ulei de cocos și o lingură de bicarbonat de sodiu.
Poți adăuga și câteva picături de ulei de mentă. Amestecă ingredientele într-un bol, până când se transformă într-o pastă pe care o poți depozita într-un borcan.
Folosește compoziția pentru a te spăla pe dinți!
Stiri relevante
24.11.2025
01:12
378
Harkov sub focul dronelor: trei vieți pierdute în urma unui atac rusesc masiv
23.11.2025
23:00
490
Progrese importante în discuțiile dintre SUA și Ucraina pentru planul de pace propus de Trump
23.11.2025
21:24
573
Arme ascunse în metal și textile, descoperite la frontiera Leușeni-Albița: Audieri importante în Parlamentul de la Chișinău și arestări în Republica Moldova
23.11.2025
20:37
640
Zelenski reacționează la criticile lui Trump: Ucraina își exprimă recunoștința pentru sprijinul vital al SUA și al președintelui Trump
23.11.2025
19:22
808
Europenii aduc modificări semnificative la planul de pace al SUA pentru Ucraina, propunând o armată mai mare și un pact de securitate robust
23.11.2025
19:03
603
Prognoza meteo săptămâna 24-30 noiembrie 2025
23.11.2025
18:32
569
Trump acuză Kievul de lipsă totală de recunoștință în fața eforturilor SUA pentru Ucraina
23.11.2025
16:01
565
Ursula von der Leyen cere recunoașterea completă a rolului UE în planurile de pace pentru Ucraina
23.11.2025
14:54
661
Întâlnire crucială la Geneva: delegația ucraineană discuta cu occidentalii planul de pace al lui Trump pentru Ucraina
23.11.2025
14:44
608
Premierul norvegian critică planul american pentru Ucraina, evidențiind deficiențe semnificative și necesitatea implicării europene
24.11.2025
01:12
378
Harkov sub focul dronelor: trei vieți pierdute în urma unui atac rusesc masiv
23.11.2025
23:00
490
Progrese importante în discuțiile dintre SUA și Ucraina pentru planul de pace propus de Trump
23.11.2025
21:24
573
Arme ascunse în metal și textile, descoperite la frontiera Leușeni-Albița: Audieri importante în Parlamentul de la Chișinău și arestări în Republica Moldova
23.11.2025
20:37
640
Zelenski reacționează la criticile lui Trump: Ucraina își exprimă recunoștința pentru sprijinul vital al SUA și al președintelui Trump
23.11.2025
19:22
808
Europenii aduc modificări semnificative la planul de pace al SUA pentru Ucraina, propunând o armată mai mare și un pact de securitate robust
23.11.2025
19:03
603
Prognoza meteo săptămâna 24-30 noiembrie 2025
23.11.2025
18:32
569
Trump acuză Kievul de lipsă totală de recunoștință în fața eforturilor SUA pentru Ucraina
23.11.2025
16:01
565
Ursula von der Leyen cere recunoașterea completă a rolului UE în planurile de pace pentru Ucraina
23.11.2025
14:54
661
Întâlnire crucială la Geneva: delegația ucraineană discuta cu occidentalii planul de pace al lui Trump pentru Ucraina
23.11.2025
14:44
608
Premierul norvegian critică planul american pentru Ucraina, evidențiind deficiențe semnificative și necesitatea implicării europene
Top stiri
24.11.2025
01:12
367
Harkov sub focul dronelor: trei vieți pierdute în urma unui atac rusesc masiv
23.11.2025
23:00
474
Progrese importante în discuțiile dintre SUA și Ucraina pentru planul de pace propus de Trump
23.11.2025
21:24
566
Arme ascunse în metal și textile, descoperite la frontiera Leușeni-Albița: Audieri importante în Parlamentul de la Chișinău și arestări în Republica Moldova
23.11.2025
20:37
634
Zelenski reacționează la criticile lui Trump: Ucraina își exprimă recunoștința pentru sprijinul vital al SUA și al președintelui Trump
23.11.2025
19:22
800
Europenii aduc modificări semnificative la planul de pace al SUA pentru Ucraina, propunând o armată mai mare și un pact de securitate robust
23.11.2025
19:03
598
Prognoza meteo săptămâna 24-30 noiembrie 2025
23.11.2025
18:32
562
Trump acuză Kievul de lipsă totală de recunoștință în fața eforturilor SUA pentru Ucraina
23.11.2025
16:01
560
Ursula von der Leyen cere recunoașterea completă a rolului UE în planurile de pace pentru Ucraina
23.11.2025
14:54
656
Întâlnire crucială la Geneva: delegația ucraineană discuta cu occidentalii planul de pace al lui Trump pentru Ucraina
23.11.2025
14:44
602
Premierul norvegian critică planul american pentru Ucraina, evidențiind deficiențe semnificative și necesitatea implicării europene
23.11.2025
13:55
632
Armata rusă raportează cucerirea a trei localități din estul Ucrainei, în timp ce Ucraina întâmpină dificultăți pe front
23.11.2025
13:05
544
Zelenski cere intensificarea eforturilor pentru apărarea Ucrainei împotriva atacurilor rusești
23.11.2025
12:55
721
Marco Rubio la Geneva: Discuții cruciale pe tema planului controversat de pace pentru Ucraina propus de Trump
23.11.2025
11:29
836
Atac cu drone asupra unei centrale electrice la est de Moscova: incendiul a fost localizat după explozii impresionante
23.11.2025
08:13
581
Horoscopul zilei 23.11.2025
23.11.2025
07:52
764
Trump: Planul SUA pentru Ucraina nu este oferta finală în războiul cu Rusia
22.11.2025
20:45
858
Vreme noroasă și temperaturi scăzute în Moldova pentru 23 noiembrie 2025
22.11.2025
17:51
853
Liderii europeni cer îmbunătățiri pentru planul de pace al SUA privind Ucraina la summitul din Africa de Sud
22.11.2025
16:28
909
Liderii europeni discută planul controversat al SUA pentru Ucraina la summitul G20 din Johannesburg
22.11.2025
15:58
810
Belarusul eliberează 31 de cetățeni ucraineni conform unui acord Trump-Lukașenko
22.11.2025
15:35
869
Întâlniri la nivel înalt între Ucraina și SUA în Elveția pentru un posibil acord de pace cu Rusia
22.11.2025
12:33
906
Ucraina și aliații săi europeni caută soluții în fața planului controversat propus de Trump pentru încetarea conflictului cu Rusia
22.11.2025
09:53
1098
Întâlnire controversată la Miami între oficialii Trump și emisari ruși pentru un plan de pace în Ucraina, criticat intens de Ucraina și aliații săi
22.11.2025
08:04
865
Horoscopul zilei 22.11.2025
22.11.2025
07:52
1231
Punct de vedere, despre planul lui Trump pentru Ucraina: „Cuvântul PACE n-a mai avut un sens atât de hidos de la Acordul de la Munchen. Trocul sângeros de atunci se repetă acum - Putin recompensat pentru calitatea de UCIGAȘ internațional”
24.11.2025
01:12
367
Harkov sub focul dronelor: trei vieți pierdute în urma unui atac rusesc masiv
23.11.2025
23:00
474
Progrese importante în discuțiile dintre SUA și Ucraina pentru planul de pace propus de Trump
23.11.2025
21:24
566
Arme ascunse în metal și textile, descoperite la frontiera Leușeni-Albița: Audieri importante în Parlamentul de la Chișinău și arestări în Republica Moldova
23.11.2025
20:37
634
Zelenski reacționează la criticile lui Trump: Ucraina își exprimă recunoștința pentru sprijinul vital al SUA și al președintelui Trump
23.11.2025
19:22
800
Europenii aduc modificări semnificative la planul de pace al SUA pentru Ucraina, propunând o armată mai mare și un pact de securitate robust
23.11.2025
19:03
598
Prognoza meteo săptămâna 24-30 noiembrie 2025
23.11.2025
18:32
562
Trump acuză Kievul de lipsă totală de recunoștință în fața eforturilor SUA pentru Ucraina
23.11.2025
16:01
560
Ursula von der Leyen cere recunoașterea completă a rolului UE în planurile de pace pentru Ucraina
23.11.2025
14:54
656
Întâlnire crucială la Geneva: delegația ucraineană discuta cu occidentalii planul de pace al lui Trump pentru Ucraina
23.11.2025
14:44
602
Premierul norvegian critică planul american pentru Ucraina, evidențiind deficiențe semnificative și necesitatea implicării europene
23.11.2025
13:55
632
Armata rusă raportează cucerirea a trei localități din estul Ucrainei, în timp ce Ucraina întâmpină dificultăți pe front
23.11.2025
13:05
544
Zelenski cere intensificarea eforturilor pentru apărarea Ucrainei împotriva atacurilor rusești
23.11.2025
12:55
721
Marco Rubio la Geneva: Discuții cruciale pe tema planului controversat de pace pentru Ucraina propus de Trump
23.11.2025
11:29
836
Atac cu drone asupra unei centrale electrice la est de Moscova: incendiul a fost localizat după explozii impresionante
23.11.2025
08:13
581
Horoscopul zilei 23.11.2025
23.11.2025
07:52
764
Trump: Planul SUA pentru Ucraina nu este oferta finală în războiul cu Rusia
22.11.2025
20:45
858
Vreme noroasă și temperaturi scăzute în Moldova pentru 23 noiembrie 2025
22.11.2025
17:51
853
Liderii europeni cer îmbunătățiri pentru planul de pace al SUA privind Ucraina la summitul din Africa de Sud
22.11.2025
16:28
909
Liderii europeni discută planul controversat al SUA pentru Ucraina la summitul G20 din Johannesburg
22.11.2025
15:58
810
Belarusul eliberează 31 de cetățeni ucraineni conform unui acord Trump-Lukașenko
22.11.2025
15:35
869
Întâlniri la nivel înalt între Ucraina și SUA în Elveția pentru un posibil acord de pace cu Rusia
22.11.2025
12:33
906
Ucraina și aliații săi europeni caută soluții în fața planului controversat propus de Trump pentru încetarea conflictului cu Rusia
22.11.2025
09:53
1098
Întâlnire controversată la Miami între oficialii Trump și emisari ruși pentru un plan de pace în Ucraina, criticat intens de Ucraina și aliații săi
22.11.2025
08:04
865
Horoscopul zilei 22.11.2025
22.11.2025
07:52
1231
Punct de vedere, despre planul lui Trump pentru Ucraina: „Cuvântul PACE n-a mai avut un sens atât de hidos de la Acordul de la Munchen. Trocul sângeros de atunci se repetă acum - Putin recompensat pentru calitatea de UCIGAȘ internațional”
Actualitate
Parteneri
Actualitate
Harkov sub focul dronelor: trei vieți pierdute în urma unui atac rusesc masiv
Progrese importante în discuțiile dintre SUA și Ucraina pentru planul de pace propus de Trump
Arme ascunse în metal și textile, descoperite la frontiera Leușeni-Albița: Audieri importante în Parlamentul de la Chișinău și arestări în Republica Moldova
Zelenski reacționează la criticile lui Trump: Ucraina își exprimă recunoștința pentru sprijinul vital al SUA și al președintelui Trump
Punct de vedere NAȚIONAL
Curs valutar
1 MDL
1 EUR
19.83
1 USD
17.23
1 RON
3.90
1 RUB
0.22
1 UAH
0.41
Sondaj
Prietenii noștri


Inapoi














